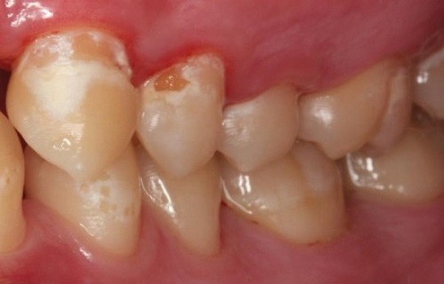
درباره مواد غذایی که باعث آسیب به دندان خراب میشوند، اظهار کرد: برخی مواد سفت و ترد مانند سیب و هویج سبب شکستن دندان ترک خورده میشود، اگر تمایل به مصرف این مواد دارید آنها را ریز خرد کنید تا فشاری به دندان وارد نشود. این داندانپزشک بیان کرد: موادی که از رنگهای تیره تشکیل شده بر مینای دندان تاثیر منفی دارد؛ موادی مانند پاستا و مایع ماکارونی به دلیل رنگ تیرهای که دارند ممکن است روی مینای دندان تاثیر داشته باشد، میناهای منفذدار به راحتی این رنگها را به خود جذب و لکههای نازیبا ایجاد میکنند به علاوه، اسید موجود در گوجه فرنگی باعث ایجاد منافذ در دندان میشود، برای برطرف کردن این مشکل بهتر است بلافاصله پس از خوردن پاستا و ماکارونی آب را در دهان خود قرقره کنید تا سس روی دندانها نماند.

رئیسی مرندی گفت: آبنباب جو دستهای از مواد است که شکر موجود در آن به مدت طولانی در دهان میماند و تاثیرات منفی بر دندانها میگذارد، همچنین گاز زدن بلال (کبابی، آب پز یا بخارپز) موجب ترک خوردن یا شکستن دندانهای سالم، پر کرده یا پانسمان شده، ارتودنسی، سیم یا براکتها میشود، برای لذت بردن از طعم خوب بلال میتوانید دانههای آن را از بدنه جدا و با قاشق همچون ذرت مکزیکی میل کنید.
نوشابههای رژیمی؛ خرابکارهای خندانی هستند که زیرکانه به دندانهای شما آسیب میرسانند
این دندانپزشک تشریح کرد: بیشتر سوداها و نوشابهها شامل اسید هستند که مینای دندان را از بین میبرد؛ آب معدنی یکی دیگر از موادی است که موجب خرابی دندان میشود، چرا که پروسه خالص سازی این آبها منجر به اسیدی شدن دندان و به دنبال آن آسیب به بافت آن میشود.

به جای شکلات شیرین، شکلات تلخ را تجربه کنید
وی با تاکید بر اینکه آدامسهای نعناعی در از بین بردن دندان موثر هستند، گفت: سعی کنید از آدامسهای بدون شکر استفاده کنید که با باکتریهای دهانی هم مبارزه میکنند؛ همچنین شکلاتهای جویدنی به شدت روی مینای دندان تاثیر منفی میگذارند، شکلاتهای جویدنی روی دندان و لثه باقی میکنند و موجب ایجاد پلاک میشوند به علاوه، خوردن شکلات در موقع نامناسب باعث از بین رفتن دندان خواهد شد.