در سالهای گذشته عمل لوزه سوم عمل مرسومی بود و از بین کودکان مختلف میدیدیم که خانوادهها آنها را برای انجام این کار نزد جراح میبرند.
اما هر چقدر که جلوتر رفتیم از تعداد این عملها کاسته شد. حتی یک باور عمومی در بین مردم ایجاد شده که حتما نسل جدید دیگر مشکل بزرگی لوزه سوم ندارند.
اما حقیقت ماجرا اینطور نیست. در این مقاله قصد داریم درباره عمل لوزه سوم، شرایط انجام آن و مواردی از این دست صحبت کنیم. اگر شما هم میخواهید درباره این موضوع اطلاعات بیشتری بهدست بیاورید، پیشنهاد ما این است که تا انتهای مقاله همراه ما باشید.
به بافتهای لنفاوی بدن که جزئی از سیستم ایمنی ما هستند لوزه گفته میشود. وظیفه آنها محافظت از دستگاه تنفسی فوقانی است.
لوزهها در برابر عفونتهای مختلف از خود مقاومت نشان میدهند تا جایی که عفونت از بین برود. همین موضوع گاهی باعث تورم آنها خواهد شد که نشان دهنده عملکرد درست سیستم دفاعی آنها است. هر چقدر که سن ما بیشتر میشود تورم لوزهها نیز کمتر خواهد شد.
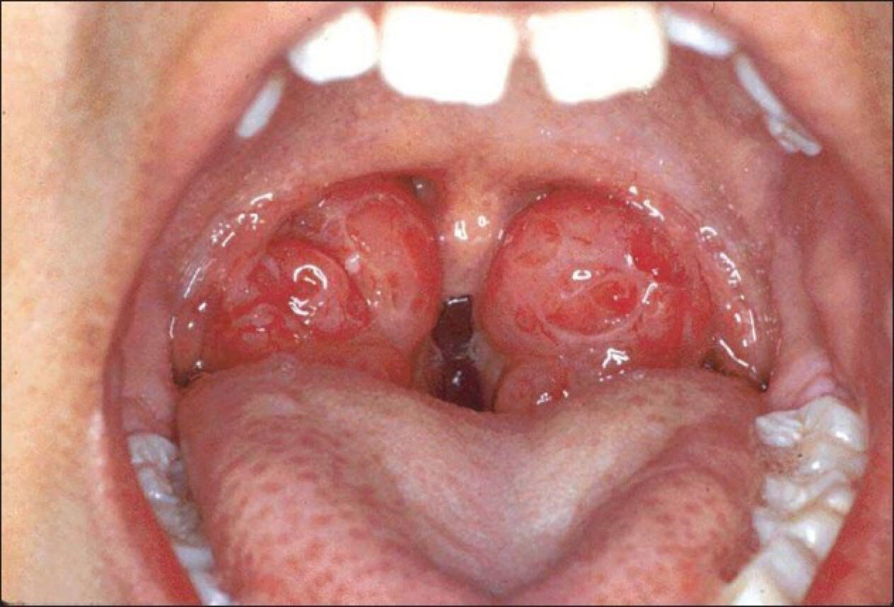
کودکان معمولا لوزههای بزرگی دارند و در برخی از آنها این بزرگی بیش از اندازه است. زمانی که لوزهها بیش از اندازه بزرگ شوند ممکن به یکدیگر بچسبند و در مقابل راه غذا باشند.
این موضوع باعث میشود که لوزهها پس از مدتی ظاهری زشتی پیدا کنند و از نظر والدین خطرناک به نظر برسند. بزرگ بودن آنها همیشه به معنای عفونت نیست اما ممکن است که راه بلع و تنفس با افزایش اندازه آنها مسدود شود.
آدنوئید همان چیزی است که در بین مردم با نام لوزه سوم مشهور است. آدنوئید بافتهایی است که در بالای گلو و پشت بینی قرار گرفته اند. لوزه سوم نیز دیگر کنار دیگر لوزهها بخشی از سیستم لنفاوی بدن انسان است.
اما ممکن است برای شما این سوال به وجود بیاید که سیستم لنفاوی چیست و چه عملکردی دارد؟ این سیستم کمک میکند که بدن عفونتها را از بین ببرد و مایعات را در بدن نیز متعادل نگه میدارد.
آنها میتوانند همانند لوزهها میکروبهایی که از راه دهان وارد بدن میشوند را به دام بیندازند و آنها را از بین ببرند. به نوعی میتوان گفت که آنها اولین سد بدن در برابر میکروبهای خارجی هستند.
همانطور که گفتیم آدنوئید و لوزهها اولین سد دفاعی بدن هستند. به همین دلیل آنها معمولا زود عفونی میشوند و 90 درصد عفونتهای آنها ویروسی است.
10 درصد مابقی نیز مربوط به عفونتهای میکروبی است. عفونت باعث میشود که اندازه لوزهها و آدنوئید (لوزه سوم) بزرگ شود.
ممکن است در یکسال چند بار لوزههای ما عفونی شوند و این شرایط تا جایی پیش برود که برای برداشتن آنها نیاز به عمل جراحی لوزه سوم داشته باشیم.
بزرگی این لوزهها میتواند سیستم تنفسی و بلع ما را دچار اشکال کند. آنها میتوانند در خواب نیز اختلال بهوجود بیاورند و دلیل بسیاری از خروپفها نیز هستند.
کودکانی که لوزه سومشان بزرگ میشود دچار گرفتگی صدا خواهند شد مشکلاتی مانند عدم تمرکز و خستگی در طول روز خواهند داشت. در چنین شرایطی برای برای عمل لوزه سوم دکتر گوش تهران میتواند مشاوره خوبی به شما بدهد و مشکل را برطرف کند.
به طور کلی عفونتهای لوزه 2 دسته هستند. عفونتهای ویروسی و عفونتهای باکتریایی. هر کدام از آنها نیز علائم خاص و متخصص به خود را دارند که در ادامه بررسی خواهیم کرد.
این عفونتها معمولا همراه با علائمی مانند تب بالا، سوزش گلو، احساس خستگی و سرفههای شدید هستند. گلودردهای سرماخوردگی از این نوعاند که عموما با سرفه و آبریزشبینی همراهاند.
بهترین راه برای مقابله با آنها و درمان سریع استراحت و استفاده از مایعات گرم است. برای آنها نیاز نیست داروی خاصی مصرف کرد و تنها باید کمی به تغذیه توجه داشت.
این عفونتها مدت زمان بسیار طولانیتر از عفونتهای ویروسی دارند. آنها بین 10 تا 15 روز طول میکشند و معمولا راه مقابله با آنها آنتیبیوتیک است که باید توسط پزشک تجویز شود.
تب جزء علائم این عفونتها نیست و تنها در موارد نادری دیده شده که عفونتهای باکتریایی با تب همراه باشند. تب اگر در این نوع عفونت بروز هم بکند معمولا خفیف است. باکتریها خاصیتی دارند که باعث می شود پس از بهبود عفونت نیز از بدن خارج نشوند.
آنها میتوانند در بدن بمانند نقاط دیگری را مورد تهاجم قرار بدهند. متاسفانه بسیاری از کودکان با توصیه والدین در عفونتهای ویروسی بهشکل خودسرانه از آنتیبیوتیکها استفاده میکنند که در نهایت مشکل آنها را رفع نخواهد کرد. حتی برای عفونتهای باکتریایی نیز نمیتوان خودسرانه مصرف آنتیبیوتیک را در دستور کار قرار داد. 
امروز بیشتر پزشکان این توصیه را به بیماران مختلف میکنند که عمل لوزه سوم را انجام ندهند. همانطور که گفتیم لوزهها یک سد دفاعی مهم در بدن هستند و برداشتن آنها سیستم ایمنی بدن را ضعیف خواهد کرد.
در برخی از شرایط خاص ما چارهای جز جراحی نداریم و باید عوارض عمل لوزه سوم را به جان بخریم. در چنین شرایط جراحی با تایید پزشک مشکلی ندارد و بهترین کاری است که میتوان انجام داد. در ادامه این شرایط را به شما معرفی میکنیم.
اگر لوزههای مدام، پشتسرهم و متوالی عفونت کنند مشکلات زیادی را برای ما بهوجود خواهند آورد. برای نمونه 2 بار عفونت در طول یک عدد منطقی و طبیعی است.
اما بیش از آن ممکن است که مشکلساز شود و باید برای درمانش به پزشک مراجعه نمود. برخی موارد نیز وجود دارند که در آنها بدن ما نسبت به آنتیبیوتیکها از خود مقاومت نشان میدهد. در چنین شرایط نیز نمیتوان درمان را با استفاده از راهی جز جراحی پیش برد.
آبسه ها تودههایی چرکی هستند که بر اثر عفونت در اطراف لوزه ایجاد میشوند. آنها مشکلات رایجی نیستند و معمولا هم اتفاق نمیفتند اما گاهی ممکن است شرایط را به حدی وخیم کنند که بیمار مجبور به عمل جراحی شود.
عمل لوزه سوم کودکان نیز گاهی به همین دلیل اتفاق میفتد. آپنه خواب نیز اختلالی است که در سیستم تنفسی رخ میدهد و شرایط تنفس را برای بیمار بسیار سخت میکند. اگر آپنه شدید باشد سیستم تنفسی تا حد زیادی مسدود خواهد شد و تنها چاره کار عمل جراحی است.
در این مقاله درباره عمل لوزه سوم صحبت کردیم. همانطور که دیدید عمل جراحی امروز دیگر روش مرسومی نیست تنها برای موارد خاص بهکار میرود.
پس باید توجه داشته باشید که امروز دکترها تنها در شرایط خاص حاضر به برداشتن لوزه سوم با عمل جراحی هستند. عمل جراحی در نقطهها بحرانی کارساز است اما دلیل دوری پزشکان از این روش کاهش سطح ایمنی بدن پس از عمل جراحی است.
در بسیاری از مواقع افزایش سن مشکل لوزه را برطرف میکند و شما خواهید دید که لوزهها دیگر سدی در برابر دستگاه تنفسی نیستند. ممنونیم که تا انتهای مقاله همراه ما بودید.