اینکه یک بیماری اثرات بلندمدت داشته باشد یا ویروس آن در بدن باقی بماند و بعد از مدتی دوباره فعال شود و عوارض جدیدی ایجاد کند در دنیای بیماریها سابقهدار است. مشهورتر از همه ویروس تبخال است که وقتی وارد بدن شود برای همیشه باقی میماند و هرگاه
سیستم دفاعی بدن ضعیف شود، سریع عود میکند و باعث ایجاد تاول میشود. گاهی هم ممکن است عوارض یک بیماری تأثیری ماندگار بهاندازه همه عمر داشته باشد. در بیماریهای واگیر اخیر ویروس ابولا یکی از ماندگارها بود. این ویروس در مایع زجاجیه چشم برخی مبتلایان باقی ماند و پس از چند سال به بیماریهای چشمی حاد و دائمی منجر شد. حدود یکسوم مبتلایان به سارس نیز چند سال پس از بهبودی به اختلال عملکردی ریهها دچار شدند. درباره مرس وضعیت بدتر بود و یکسوم مبتلایان به مرس مدتی پس از بهبود به زخم ریه دائمی دچار شدند. درباره کرونا هنوز خیلی زود است که درباره عوارض بلندمدت صحبت شود، ولی نتایج تحقیقات در همین مدت کوتاه گمانهزنیهای مختلفی در پی دارد.

به دلیل ناشناختهبودن
ویروس کرونا و نتایج متفاوت پژوهشها، مسؤولان سازمان بهداشت جهانی گاهی در جلسههایشان سخنان قبلی خود را نامعتبر اعلام میکنند!
اختلافات بر سر کرونا
ناشناخته بودن بیماری کرونا و البته پیچیدگی زیادش که برای محققان نیز شگفتآور است به نظریههایی متفاوت و متضاد درباره آن منجر میشود. این نظریهها که در زمینههای مختلف از دامنه شیوع کرونا گرفته تا عوارض، علائم، امکان کشف واکسن و دارو، احتمال بروز موجهای بعدی بیماری و... مطرح میشود برای افکار عمومی سردرگمیهای جدی ایجاد کرده است. اغلب نظریهها در واقع نتایج مستقیم یا غیرمستقیم پژوهشهای محدود و کوتاهمدت هستند و زیاد پیش میآید که یک مؤسسه معتبر خبری را اعلام میکند و مدتی بعد مؤسسه معتبر دیگری آن را رد میکند. در این میان سازمان بهداشت جهانی گوی سبقت از دیگران ربوده و حرفهای خودش را هم از جمله درباره میزان کشندگی و شیوع کرونا و تأثیر استفاده از ماسک بهدفعات تغییر میدهد و نقض میکند. درباره ماندگاری عوارض کرونا نیز وضعیت بر همین منوال است و تنها میتوان بر نتایج تحقیقات و دانش و قدرت استنتاج متخصصان بیماریهای واگیر تکیه کرد. البته درنهایت بهترین حالتش این است که عوارض کرونا و خود کرونا باقی نمانند و هر چه زودتر بروند.

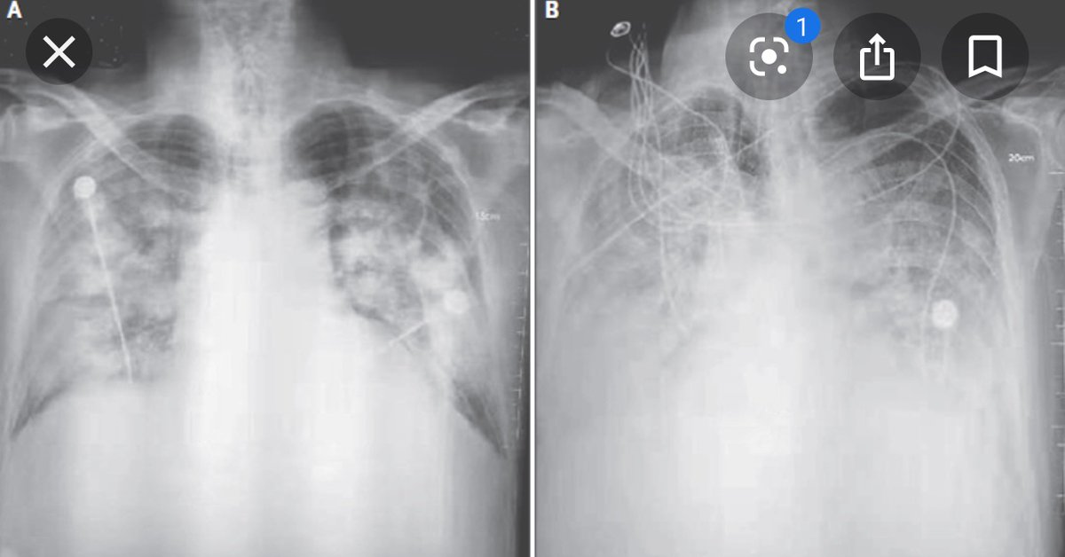
در نخستین روزهای شیوع کرونا عکسهایی واقعی و غیرواقعی از ریه مبتلایان منتشر شد و ترس عمومی را برانگیخت. برای بسیاری این تصاویر به احتمال نابودی کامل ریه تعبیر شد!
امکان بازگشت ریهها به حالت عادی
بررسی وضعیت پزشکی مبتلایان به کرونا پس از بهبودی، از همان ماه نخست شیوع جهانی کرونا نشان داد عوارض این بیماری تا مدتی باقی میماند. یکی از نخستین تحقیقات دراینباره در هنگکنگ نشان داد عوارض ریوی مهمترین مشکل مبتلایان پس از بهبودی است. محققان این کشور متوجه اختلال در عملکرد ریهها مبتلایان حتی پس از بهبودی کامل شدند. از همان ابتدای شیوع کرونا نیز مشخص شد ظرفیت ریههای افراد بهبودیافته کمتر از قبل شده است و برای برخی کسانی که به کرونای شدید مبتلا شده بودند تنها ۲۰ تا ۳۰ درصد ریهها عملکرد مطلوب داشت. بااینحال پزشکان حدس میزنند این مشکل با استفاده از روشهای مختلف از جمله فعالیت بدنی متناسب، قابل رفع است و ظرفیت ریهها به حالت عادی باز میگردد. کرونا در برخی بیماران به ریهها آسیبهای بیشتری هم میزند که با گذشت زمان میتوان دریافت ماندگار هستند یا خیر. اغلب عفونتهای ریوی باکتریایی هستند و قابل درمان. ولی وقتی عفونت ویروسی باشد موضوع پیچیدهتر میشود و وقتی پای ویروس ناشناخته کرونا در میان است دیگر باید منتظر گذشت زمان و بررسیهای دقیقتر پزشکی شد.

پروفسور «پیتر برلیت» دبیر انجمن مغز و اعصاب آلمان تاکید دارد که تأثیر کرونا هنوز ناشناخته است و درباره عوارض آن اطلاعات کافی وجود ندارد و هیچ نظری قطعی نیست
مشکلات احتمالی برای مغز و اعصاب
کرونا در ابتدا و بهصورت کلی یک بیماری تنفسی تلقی میشد، ولی حالا میدانیم که ابتلای به کرونای شدید بر روی عملکرد مغز، قلب، کلیهها، کبد و غدد درونریز بدن تأثیر میگذارد. بنا به اطلاعاتی که انجمن مغز و اعصاب آلمان بهتازگی منتشر کرده برخی از افراد مبتلا به کرونا همزمان به اختلالات شدید عصبی دچار شدهاند. بررسیهای بیشتر نیز نشان داده که این افراد به سندروم اختلال کلی در عملکرد مغز مبتلا شدهاند که میتواند عوارض بلندمدتی نظیر سردرگمی، بیقراری و اختلال حافظه را در پی داشته باشد. هرچند اینها همگی تحقیقات اولیه و گمانهزنی بر اساس تجربیات پزشکی محسوب میشود و نباید قطعی انگاشته شود.
لختههای خونی و احتمال بروز سکته
تحقیقات اولیه نشان میدهد ابتلا به کرونای شدید یا خفیف در بلندمدت خطر تشکیل لختههای خونی را افزایش میدهد و به این دلیل ممکن است در برخی افراد احتمال بروز سکته مغزی را بالا ببرد. این عارضه کرونا و تشکیل لختههای خونی حتی میتواند به آسیبهای عمومیتری در بدن منجر شود. دکتر «علیاکبر حقدوست» رئیس کمیته اپیدمیولوژی ستاد مقابله با کرونا در اینباره میگوید: «برخی عوارض کرونا اعم از عوارض کبدی و کلیوی و سایر اندامهای بدن میتواند از طریق ایجاد ترومبوزها یا لختههای خونی کوچکی در مویرگها و سرخرگهای بسیار کوچک باشد که منجر به سکتههای ریز در آن قسمتها شود».
علاوه بر آن محققان میگویند احتمال حملات صرع در برخی مبتلایان بالا میرود و ممکن است این حملات در بلندمدت دائمی شده و حتی به بروز بیماری صرع منجر شود. در ماههای اخیر خبرهایی از بروز بیماریهای پوستی بر اثر ابتلا به کرونا نیز منتشر شد که گمان میرود از عوارض کرونا نباشد بلکه نتیجه استفاده از چند دارو برای درمان کرونا و بروز «تداخل دارویی» باشد.
تحقیق تازه درباره عوارض چشایی و بویایی
پس از همهگیری جهانی کرونا گزارشهایی از کاهش حس بویایی و چشایی مبتلایان منتشر شد و در برخی افراد این کاهش در حد از بین رفتن این حواس بود. برخی مبتلایان نیز در حس بویایی و چشایی خود دچار تغییرات مبهم شده بودند نه کاهش. این احتمال نیز مطرح شد که شاید این وضعیت جزو عوارض دائمی کرونا باشد، ولی حالا «پیتر برلیت» متخصص مغز و اعصاب در آلمان بر اساس نتایج جدیدترین تحقیقات میگوید: «این عوارض پس از ۲ تا ۳ هفته از بین میرود. در ۵ تا ۱۰ درصد افراد نیز ممکن است این عوارض طولانیتر شود».

محققان آلمانی میگویند کاهش حس بویایی و چشایی برخی مبتلایان به کرونا موقتی است و این عارضه برای درصد پایینی از افراد طولانیتر میشود
شاید چند واکسن لازم باشد
کرونا چالش بزرگی برای علم پزشکی است؛ حتی شناختش هم سخت است چه برسد به درمانش. اما با گذشت زمان اطلاعات بیشتر و بهتر به دست میآید و درباره عوارض کرونا نیز شاید بتوان امیدوار بود که همیشگی نباشند. علاوه بر آن کشف داروی کرونا نیز میتواند بر ماندگار نشدن عوارض آن مؤثر باشد. عوارض کرونا بسیار متفاوت است و در بدن هرکسی یک یا چند بخش را بیشتر درگیر میکند. با این شرایط شاید کرونا بهجای یک دارو چندین دارو برای بخشهای مختلف بدن داشته باشد و روزی فرا برسد که کرونا بهکلی نابود و فراموش شود.